Introduction
酒石酸耐性酸性フォスファターゼ (tartrate-resistant acid phosphatase; TRAP) は、分化した破骨細胞で高発現しており、その酵素活性は分化マーカーとして利用される。
Materials
- MQ, 染色用, RT
- PBS(-), 染色用, RT
- 2% PFA in PBS(-), 4°C
- 透過液 (50% EtOH/50% アセトン), -20°C
- TLAP 染色キット (Wako, 294-67001), -20°C
- 酒石酸溶液
- 酸性フォスファターゼ基質液 A
- 酸性フォスファターゼ基質液 B
- 核染色試薬, 4°C (キット付属物)
- 1% メチレンブルー/3% 酢酸, 4°C (上記核染色試薬がない場合)
Protocol: 24-well plate
酒石酸溶液と基質液 A を RT に戻しておく。冷たいままだと充分な酵素反応が生じない。
特に指定のない限り、500 ul/well で操作する。
- PBS(-) で wash, 2回。
- 2% PFA を加えて固定する。On ice, 10 min。
- PBS(-) で wash, 2回。
- 透過液を加え、-20°C, 1 min。
- PBS(-) で wash, 2回。
- TRAP 染色液 (250 ul/well) を調整する。
| 成分 | 容量 |
|---|---|
| 酒石酸溶液 | 25 ul/well |
| 基質液 A | 225 ul/well |
| 基質液 B | 2.5 ul/well |
- 250 ul/well の TRAP 染色液を加え、37°C でインキュベーション。
- 小まめに染色具合を確認し、適切なタイミングで反応を終了する。10 min~。
- 1 ml/well の MQ を加え、染色反応を停止する。
- MQ で wash, 2回。
- 250 ul/well の核染色液を加える。
- インキュベーション, RT, 5-10 min。
- 1 ml/well の MQ を加える。
- MQ で wash, 2回。
- 250 ul/well の MQ に細胞が浸かっている状態で、顕微鏡 (Color, Bright field) で観察・撮影する。
Examples

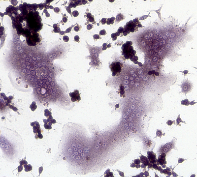
Fig 1. RAW264.7 細胞の TRAP 染色 / TRAP staining of RAW264.7 cells

