目次 / Index
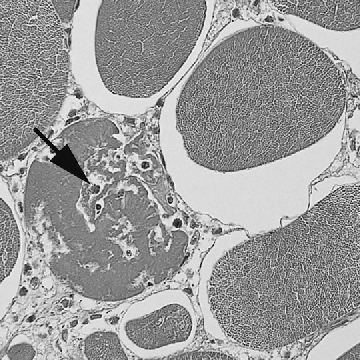
- 肉用鶏の筋組織における炎症 / Inflammation in broiler muscle tissue
- TLR とは / What's TLR?
- TLR リガンド依存的な炎症反応 / TLR ligand-dependent inflammatory responses
- 参考文献 / References
本研究は、鏡味裕先生 (信州大学農学部) との共同研究です。
This study is the collaboration with Dr Hiroshi Kagami (Faculty of Agriculture, Shinshu University).
肉用鶏の筋組織における炎症 / Inflammation in broiler muscle tissue
肉用鶏は、鶏肉となる骨格筋組織が非常に発達した品種です。近年、肉用鶏の筋組織に生じる炎症性の変化が多数報告されています (Kuttappan 2013, Hosotani 2020)。しかし、この炎症性病変の原因はよくわかっていません。そこで私たちは、筋形成を担う筋芽細胞と炎症の関係について調べました。
Broiler chickens have well-developed muscle tissue for meat production. Recently, inflammatory changes in the breast muscle of broilers have been increasingly reported (Kuttappan 2013, Hosotani 2020). However, the pathogenesis of these lesions still remains unclear. We focused on the relationship between skeletal muscle myoblasts and inflammatory responses.

Fig 1. 肉用鶏の筋組織における炎症 / Inflammation in broiler muscle tissue
(Kawasaki 2016)
TLR とは / What's TLR?
Toll 様受容体 (Toll-like receptor; TLR) は、核酸、リポペプチド、リポ多糖など、微生物由来の分子を認識し、炎症反応を作動させる受容体です (Kawai 2007)。ニワトリには 10 種類の TLR (TLR1A, 1B, 2A, 2B, 3, 4, 5, 7, 15, 21) があります (Temperley 2008)。しかし、ニワトリ筋芽細胞における TLR の発現パターンや機能は不明でした。私たちは、卵用鶏の筋芽細胞では全ての TLR 遺伝子が発現していること、一方、肉用鶏の筋芽細胞では TLR1A 遺伝子が発現していないことを見出しました。ニワトリ筋芽細胞の TLR は、骨格筋の炎症と関係していることが考えられます (Nihashi 2019)。
Toll-like receptors (TLRs) are sensory receptors which recognize microbial components (such as nucleotides, lipopeptides, and lipopolysaccharides) and activate innate immune system (Kawai 2007). Chickens have ten TLRs (TLR1A, 1B, 2A, 2B, 3, 4, 5, 7, 15, 21) (Temperley 2008). However, expression and function of TLRs in chicken myoblasts have been unknown. We showed that layer myoblasts express all TLR genes but broiler myoblasts do not express TLR1A gene. TLRs expressed in myoblasts may be involved in skeletal muscle inflammation (Nihashi 2019).

Fig 2. ニワトリ筋芽細胞における TLR 遺伝子の発現 / Expression TLR genes in chicken myoblasts
TLR リガンド依存的な炎症反応 / TLR ligand-dependent inflammatory responses
ニワトリ筋芽細胞に TLR リガンドを投与すると、炎症性サイトカインであるインターロイキンの発現が誘導されました。一方、TLR リガンドによる炎症反応は筋芽細胞の分化に影響しませんでした。これらの結果から、筋芽細胞で発現する TLR が、肉用鶏の筋組織で生じる炎症に関与している可能性が示唆されました (Nihashi 2019)。
TLR ligands induced expression of inflammatory interleukins in chicken myoblasts. Meanwhile, TLR ligand-dependent inflammatory responses did not affect myoblast differentiation. These results suggest that TLRs expressed in chicken myoblasts are involved in inflammation in broiler muscle tissue (Nihashi 2019).

Fig 3. TLR リガンド依存的な炎症反応 / TLR ligand-dependent inflammatory responses
(□ 卵用鶏 / Layer ■ 肉用鶏 / Broiler)
参考文献 / References
Hosotani M, Kawasaki T, Hasegawa Y, Wakasa Y, Hoshino M, Takahashi N, Ueda H, Takaya T, Iwasaki T, Watanabe T. Physiological and pathological mitochondrial clearance is related to pectoralis major muscle pathogenesis in broilers with wooden breast syndrome. Front Physiol. 2020; 11: 579.
Kawai T, Akira S. TLR signaling. Semin Immunol. 2007; 19: 24-32.
Kawasaki T, Yoshida T, Watanabe T. Simple method for screening the affected birds with remarkably hardened pectoralis major muscles among broiler chickens. J Poult Sci. 2016; 53: 291-297.
Kuttappan VA, Shivaprasad HL, Shaw DP, Valentine BA, Hargis BM, Clark FD, McKee SR, Owens CM. Pathological changes associated with white striping in broiler breast muscles. Poult Sci. 2013; 92: 331-338.
Nihashi Y, Ono T, Kagami H, Takaya T*. Toll-like receptor ligand-dependent inflammatory responses in chick skeletal muscle myoblasts. Dev Comp Immunol. 2019; 91: 115-122.
Temperley ND, Berlin S, Paton IR, Griffin DK, Burt DW. Evolution of the chicken Toll-like receptor gene family: a story of gene gain and gene loss. BMC Genomics. 2008; 9: 62.

